风湿性关节炎是一种常见的疾病,患者不但会出现明显的关节部位的病痛,有的患者还会出现发热或者是心慌的表现,其实风湿病的危害并不止这一点。风湿性关节炎也许还会引发强直性脊柱炎。那么,我院的医生为大家介绍介绍:

关节破坏是出现关节强直的前提
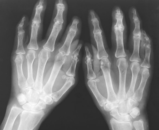
风湿性关节炎会导致关节破坏:患者关节损害主要表现为骨质疏松明显,关节间隙轻度狭窄。早期仅有关节间隙狭窄,严重者关节面边缘模糊不清,凹凸不平或囊状透亮区。关节严重破坏期患者有多处软骨下骨破坏,关节畸形明显狭窄,关节变形。关节间隙尚可见,骨质疏松明显。推荐文章:有什么和风湿性关节炎的发病有关
风湿性关节炎患者发生关节强直的表现
关节破坏严重可导致关节强直,此期关节表现为关节间隙完全消失,关节融合。可见粗条的骨小梁通过关节面,大关节可见骨质增生或硬化表现。关节间隙融合或纤维性强直。关节强直占风湿性关节炎总数的1%,通常发生于风湿性关节炎晚期,患者除典型风湿性关节炎临床表现外,还可表现为脾脏肿大和白细胞减少及血小板减少。白细胞减少的原因或为脾功能亢进,或存在骨髓抑制因子等。风湿性关节炎伴发淀粉样变性常见于风湿性关节炎晚期,淀粉样变见于脾脏、肾、胃肠道及全身小血管等部,是预后不良的征象之一。
医生提醒:风湿性关节炎的危害非常严重,很多患者对风湿病的危害不够了解,导致不够重视。引发更多的疾病。所以一旦发现风湿病。要即时的治疗。如您还有什么疑问,可联系在线医生。祝您生活愉快!
文章部分文字、图片、数据、视频等内容信息来源于互联网,版权归原作者所有,如有侵权请立即联系删除。